Comedy
Young lad gets USB cable stuck up his penis while trying to measure it

Published by The Rock Team
29 Sep 2021
One UK teenager backed up his hard drive — and his penis in the process.
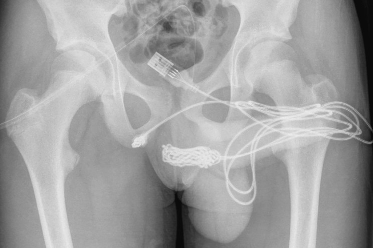
The young lad had to undergo emergency surgery after he attempted to measure his manhood using a USB cable, accidentally lodging it in his urethra.
Apparently the 15-year-old boy was "triggered by sexual curiosity" and inserted the USB wire right in there. Ouch, that's gotta hurt!
In his attempts to yank it out, the USB cord became so tangled up that both ends were left hanging out his willy. His family took him to hospital after he started pissing blood.
Initial attempts to remove it failed. After getting it X-rayed the surgeons decided the best way to get it out was to open up his gooch, between his penis and butthole to yank it out. Literally pulling the plug on the boy's nasty ordeal.

Thankfully he fully recovered and was discharged from the hospital the following day.
Experts say this type of thing often stems from "sexual curiosity" and it's becoming more common thanks to misinformation on social media.
Don't try this at home. It could seriously mess you up.
More funny shit:
Published by The Rock Team
29 Sep 2021